Rezonans magnetyczny kolana – na czym polega badanie, wskazania i przygotowanie
2026-04-16
Rezonans magnetyczny kolana – na czym polega badanie, wskazania i przygotowanie

Staw kolanowy, ze względu na swoją złożoną budowę i intensywną eksploatację, jest szczególnie narażony na urazy oraz przewlekłe schorzenia. Nowoczesne

Rezonans magnetyczny kręgosłupa – na czym polega badanie, wskazania i przygotowanie
2026-04-16
Rezonans magnetyczny kręgosłupa – na czym polega badanie, wskazania i przygotowanie

Diagnostyka obrazowa kręgosłupa odgrywa istotną rolę w rozpoznawaniu oraz monitorowaniu wielu schorzeń neurologicznych i ortopedycznych. Współczesna medycyna oferuje szereg zaawansowanych

Rezonans magnetyczny głowy – na czym polega badanie, wskazania i przygotowanie
2026-04-16
Rezonans magnetyczny głowy – na czym polega badanie, wskazania i przygotowanie

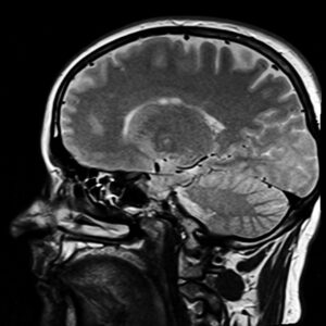
Diagnostyka obrazowa mózgu odgrywa istotną rolę w rozpoznawaniu i monitorowaniu wielu chorób neurologicznych. Wśród dostępnych metod szczególne miejsce zajmuje rezonans

Rezonans magnetyczny – na czym polega badanie, wskazania i przygotowanie
2026-03-31
Rezonans magnetyczny – na czym polega badanie, wskazania i przygotowanie

Rezonans magnetyczny to jedna z najbardziej zaawansowanych metod obrazowania medycznego, która umożliwia precyzyjną ocenę struktur wewnętrznych organizmu bez ingerencji chirurgicznej.

Rezonans magnetyczny z kontrastem – na czym polega badanie i kiedy jest zalecane
2026-03-31
Rezonans magnetyczny z kontrastem – na czym polega badanie i kiedy jest zalecane

Rezonans magnetyczny z użyciem środka kontrastowego stanowi jedno z najbardziej precyzyjnych narzędzi diagnostyki obrazowej, pozwalając na szczegółową ocenę struktur anatomicznych

Tomografia zatok – na czym polega badanie, wskazania i przygotowanie
2026-02-16
Tomografia zatok – na czym polega badanie, wskazania i przygotowanie

Diagnostyka obrazowa zatok przynosowych odgrywa istotną rolę w rozpoznawaniu i monitorowaniu wielu schorzeń laryngologicznych oraz stomatologicznych. Współczesna medycyna oferuje szereg

Tomografia serca – na czym polega badanie, wskazania i przygotowanie
2026-02-16
Tomografia serca – na czym polega badanie, wskazania i przygotowanie

Diagnostyka obrazowa serca odgrywa coraz większą rolę w wykrywaniu i monitorowaniu chorób układu krążenia. Tomografia komputerowa serca, wykorzystująca zaawansowane technologie

Tomografia komputerowa z kontrastem przygotowanie – jak się przygotować do badania krok po kroku
2026-02-16
Tomografia komputerowa z kontrastem przygotowanie – jak się przygotować do badania krok po kroku

Tomografia komputerowa z zastosowaniem środka kontrastowego stanowi zaawansowaną technikę obrazowania, która umożliwia szczegółową ocenę struktur anatomicznych oraz wykrywanie nawet subtelnych

Tomografia komputerowa głowy – na czym polega badanie, wskazania i przebieg
2026-02-16
Tomografia komputerowa głowy – na czym polega badanie, wskazania i przebieg

Współczesna diagnostyka neurologiczna i neurochirurgiczna opiera się na zaawansowanych technikach obrazowania, które umożliwiają szybkie i precyzyjne rozpoznanie wielu schorzeń oraz

Tomografia komputerowa – na czym polega badanie, wskazania i przygotowanie
2026-02-16
Tomografia komputerowa – na czym polega badanie, wskazania i przygotowanie

Współczesna medycyna korzysta z wielu zaawansowanych metod obrazowania, które pozwalają na precyzyjną ocenę stanu zdrowia pacjenta bez konieczności wykonywania inwazyjnych

Tomografia a rezonans – różnice, wskazania i zastosowanie w diagnostyce
2026-02-16
Tomografia a rezonans – różnice, wskazania i zastosowanie w diagnostyce

Nowoczesne metody obrazowania medycznego odgrywają istotną rolę w procesie diagnostycznym, umożliwiając precyzyjne rozpoznanie wielu chorób oraz monitorowanie postępów leczenia. W